自由が丘駅1分、歯医者が苦手な方のための歯科医院

症例一覧

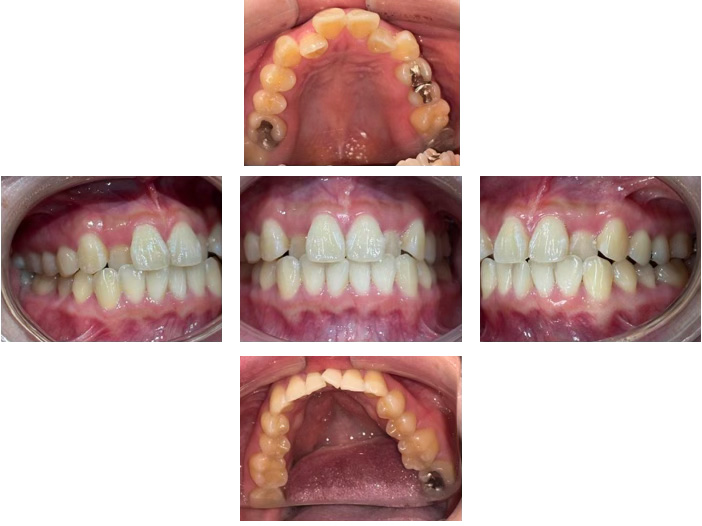
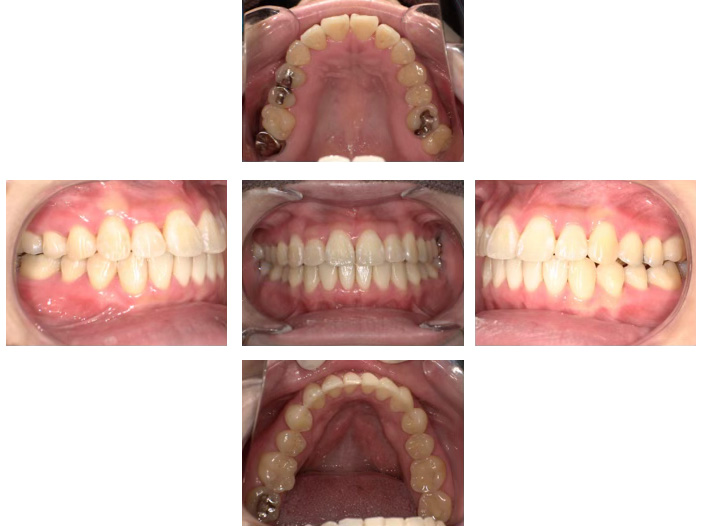
症例4 20代女性-歯を白くしたい

治療前

Before

治療後

After

年齢 20代
性別 女性
主訴 歯を白くしたい

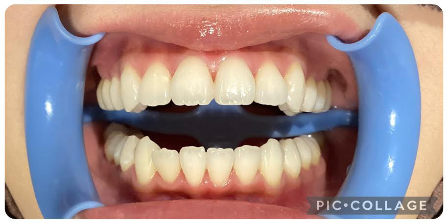
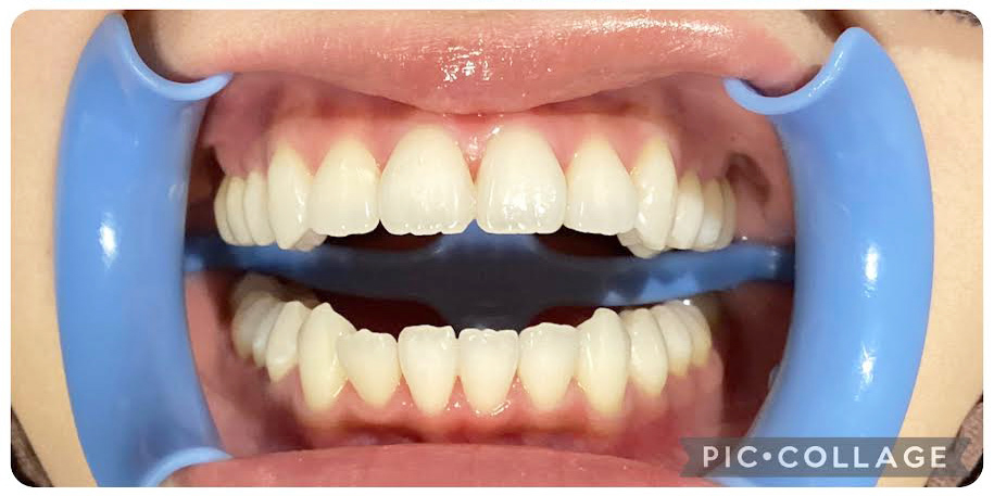
症例3 20代女性-歯を白くしたい

治療前

Before

治療後

After

年齢 20代
性別 女性
主訴 歯を白くしたい

症例2 30代女性-歯を白くしたい

治療前

Before

治療後

After

年齢 30代
性別 女性
主訴 歯を白くしたい

症例1 30代女性-見た目を綺麗にしたい

治療前

Before

治療後

After

年齢 30代
性別 女性
主訴 見た目を綺麗にしたい
前歯の後ろに位置する歯が気になる
歯石や着色がつきやすく、歯磨きしやすいようにしたい
ご予約 ➝ RESERVATION 電話で予約する ➝ TEL